Hơn 50% người trưởng thành trên toàn thế giới bị đau đầu. Cơn đau có thể lan tỏa cả đầu hoặc chỉ ở một vị trí nào đó như nửa đầu bên trái. Tình trạng đau nửa đầu bên trái nếu chỉ xuất hiện thoáng qua thường không đáng lo ngại nhưng nếu kéo dài, kèm theo các triệu chứng khác như chóng mặt, buồn nôn,… tuyệt đối không được chủ quan vì đây có thể là dấu hiệu của nhiều bệnh lý nguy hiểm.
Đau nửa đầu bên trái là gì?
Đau nửa đầu bên trái là tình trạng xuất hiện những cơn đau ở vị trí nửa đầu bên trái, đây là một căn bệnh khá phổ biến ở người trưởng thành trên thế giới. Cơn đau có thể xuất hiện theo chu kỳ vài lần trong tháng hoặc vài lần trong năm tùy vào mức độ nặng nhẹ của bệnh.
Người bị đau nửa đầu bên trái có những cơn đau vừa, đau dữ dội, cơn đau tăng dần khiến người bệnh cảm thấy choáng váng, mệt mỏi. Nếu không khắc phục kịp thời, bệnh có thể dẫn đến những hậu quả như: trầm cảm, suy giảm thị lực, mất tập trung, giảm trí nhớ,…. ảnh hưởng nghiêm trọng đến sức khỏe và sinh hoạt hàng ngày.

Triệu chứng đau nửa đầu bên trái
Tuỳ vào nguyên nhân của bệnh mà dấu hiệu đau nửa đầu bên trái cũng sẽ khác nhau. Thông thường, người bệnh sẽ cảm thấy đau đầu bên trái và cơn đau sẽ có tính chất chu kỳ. Một số triệu chứng đau nửa đầu bên trái có những biểu hiện như sau:
- Người bệnh sẽ đau từng cơn ở bên trái đầu, hốc mắt và xung quanh thái dương.
- Cơn đau sẽ tăng nhiều hơn khi vận động và theo kiểu giật liên hồi.
- Người bệnh sẽ cảm thấy buồn nôn, chóng mặt và có cảm giác ngứa ở mặt hoặc các chi, tê nửa đầu trái.
- Sụp mí mắt và chảy nước mũi, đổ nhiều mồ hôi, cổ họng cứng, hạn chế khả năng vận động.
Đau nửa đầu bên trái là dấu hiệu của bệnh gì?
Triệu chứng đau nửa đầu bên trái có thể là dấu hiệu cảnh báo của một số bệnh lý mà người bệnh không nên chủ quan như:
- Đau nửa đầu: Đau nửa đầu trái là một trong những dấu hiệu phổ biến nhất của bệnh lý đau nửa đầu. Lúc này, người bệnh thường có cảm giác đau dữ dội hoặc đau nhói một bên đầu. Cơn đau thường đi kèm với các triệu chứng như buồn nôn và nôn, nhạy cảm với âm thanh và ánh sáng, thay đổi tầm nhìn, có cảm giác tê hoặc ngứa ran ở mặt,…
- Đau đầu do căng thẳng: Đau đầu do căng thẳng cũng có thể gây đau nửa đầu bên trái hoặc bên phải. Khi bị đau đầu do căng thẳng, người bệnh sẽ có cảm giác đầu như bị một giải băng quấn quanh, thắt chặt; cảm thấy áp lực dọc theo hai bên đầu và cả phía sau đầu; vai và cổ cũng có cảm giác đau.
- Đau đầu cụm: Đau đầu từng cụm là một trong những loại đau đầu gây khó chịu nhất. Đặc trưng của đau đầu cụm là cơn đau xảy ra một bên và rất nghiêm trọng. Ngoài cơn đau một bên đầu, người bệnh còn có triệu chứng mắt đỏ và chảy nước mắt, nghẹt mũi hoặc chảy nước mũi, đổ mồ hôi,…
Biện pháp chẩn đoán chứng đau nửa đầu bên trái
Để có thể chẩn đoán chính xác nguyên nhân đau nửa đầu trái, bác sĩ sẽ tiến hàng như sau:
Khai thác tiền sử bệnh
Để thăm khám hiệu quả hơn, trước tiên các bác sĩ sẽ khai thác tiền sử của bệnh của bạn, bao gồm các vấn đề như sau:
- Trong gia đình bạn có ai từng bị chứng đau nửa đầu hay chưa?
- Bạn đã từng bị đau nửa đầu trái hay chưa? Nếu có, cơn đau diễn ra ở mức độ nặng nhẹ như thế nào, tần suất ra sao, đã uống thuốc trị đau nửa đầu bên trái chưa?
- Tình trạng đau đầu kèm theo các triệu chứng như thế nào?
- Vị trí của cơn đau đầu bên trái có hay thay đổi liên tục hay không?
- Bạn thường áp dụng phương pháp điều trị chứng đau đầu nào và có cảm thấy dễ chịu hơn khi nghỉ ngơi hay sử dụng một số biện pháp trị đau đầu nào không?
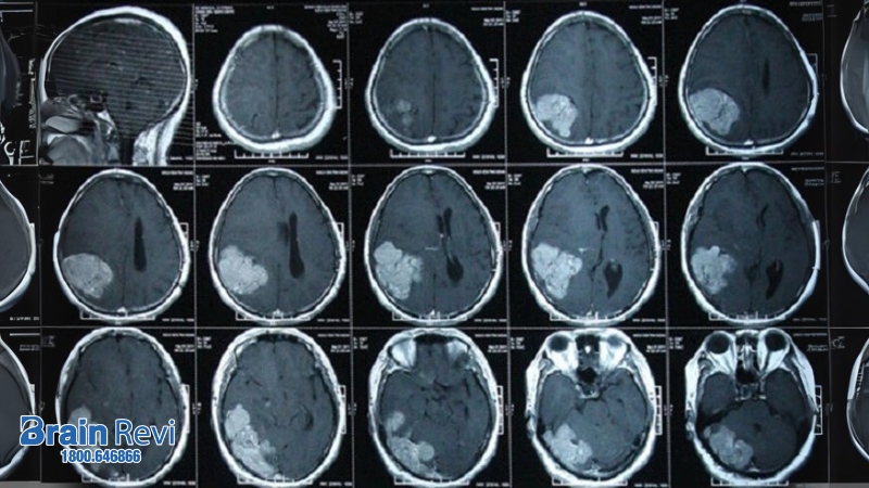
Chỉ định xét nghiệm hoặc chụp CT và MRI
Sau đó, tuỳ thuộc vào tình trạng bệnh của bác sĩ có thể cân nhắc và chỉ định kiểm tra vùng đầu và não thông qua các biện pháp chẩn đoán hình ảnh như chụp X- quang đầu, chụp CT, chụp MRI,… Trong đó, biện pháp chụp CT hoặc chụp cộng hưởng từ MRI phổ biến nhất.
- Chụp CT sử dụng loại tia X để tạo ra các hình ảnh cắt ngang não, giúp việc chẩn đoán chảy máu trong não và một số tình huống bất thường khác.
- MRI có thể tạo ra các hình ảnh rất chi tiết về não và mạch máu có trong não. Hình ảnh khi chụp não MRI sẽ chi tiết hơn CT, nên thông qua kết quả chụp bác sĩ có thể chẩn đoán chảy máu trong não, nhiễm trùng hay khối u,..
Ngoài ra, để có thể chẩn đoán và đánh giá bệnh, các bác sĩ cũng có thể kiểm tra thân nhiệt của người bệnh, kiểm tra có dịch hoặc mủ ở lỗ mũi hay không, khám hầu họng có bị sưng không, vùng mắt có bị ngứa hay đỏ không?

Điều trị đau nửa đầu bên trái
Để giảm bớt cơn đau nửa đầu bên trái, người bệnh có thể sử dụng một số loại thuốc do bác sĩ chỉ định như paracetamol, ibuprofen hay aspirin,…
Trong trường hợp cơn đau dữ dội kèm theo các triệu chứng khác, bác sĩ có thể tăng liều giảm đau hoặc chỉ định liệu trình điều trị tùy theo thể trạng người bệnh. Đối với người bệnh đau đầu cụm, có thể cần lên phác đồ điều trị bằng liệu trình oxi cao áp.
Song song với việc tuân theo các chỉ định điều trị của chuyên gia, người bị đau nửa đầu bên trái nên chủ động bổ sung thêm các dưỡng chất tự nhiên cho não bộ. Bởi vì, dù đau nửa đầu bên trái xảy ra do nguyên nhân nào đi nữa thì khi cơn đau xuất hiện đều có tác động tiêu cực đến não bộ. Việc bổ sung dưỡng chất chăm sóc não bộ từ sớm có thể giúp bảo vệ cấu trúc và chức năng của não, giúp giảm đau đầu và hỗ trợ phòng ngừa các bệnh lý về não một cách hiệu quả.
Một số hoạt chất tốt cho não bộ được giới chuyên gia khuyên dùng phải kể đến Ginkgo biloba chiết xuất từ cao lá Bạch quả, Citico line, Coenzym Q10, Đinh lăng, Đương quy,…với những công dụng nổi bật sau:
- Đinh lăng: Lá đinh lăng có chứa Saponin cùng một số thành phần khác có thể hoạt hoá nhẹ và đồng bộ vỏ não, tác động tốt lên hệ thần kinh giúp giảm đau đầu, an thần, ngủ ngon.
- Bạch quả: Vì tác dụng tăng tuần hoàn máu, chống viêm, chống oxy hoá nên bạch quả thích hợp với các tình trạng đau đầu do căng thẳng, đau đầu vận mạch, đặc biệt là giảm tần số cơn đau và thời gian đau của mỗi cơn đau nửa đầu Migraine.
- Đương quy: Đương quy sở hữu đặc tính dinh dưỡng có lợi trong việc bảo vệ các tế bào thần kinh khỏe mạnh. Bên cạnh đó, dược liệu này còn chứa hợp chất có khả năng hỗ trợ tuần hoàn máu, giúp tăng cường đưa máu lên não. Từ đó, chúng giúp cải thiện tình trạng hoa mắt, chóng mặt, hay quên, đau đầu, đau nửa đầu, cải thiện trí nhớ.
- Coenzym Q10: hỗ trợ tăng tính bền thành mạch, chống oxy hoá, giảm đau nửa đầu, giảm cholesterol máu, hạn chế sự hình thành của mảng xơ vữa động mạch.
Đặc biệt, khi kết hợp các hoạt chất trên với Rau đắng biển, khả năng bảo vệ và chống lão hóa tế bào thần kinh sẽ được nhân đôi. Nhờ đó, hỗ trợ khắc phục tình trạng đau đầu, đau nửa đầu, cải thiện trí nhớ, phòng ngừa tai biến mạch máu não (đột quỵ) một cách an toàn và hiệu quả từ gốc.

Hiện tại, Brain Revi là sản phẩm đầu tiên và duy nhất trên thị trường hội tụ đầy đủ các thành phần tốt cho não bộ như Rau đắng biển hàm lượng cao, Ginkgo biloba nhập khẩu trực tiếp từ Pháp, Nattokinase và Coezym Q10 nhập khẩu Nhật Bản, Citico line, Đương quy, Đinh lăng,…
Ngoài ra Brain Revi còn chứa vitamin và khoáng chất giúp mang lại tác động toàn diện cho não bộ, giúp hỗ trợ tăng cường tuần hoàn não, hỗ trợ tăng khả năng tập trung, cải thiện trí nhớ, hỗ trợ cải thiện các triệu chứng đau nửa đầu, ù tai, hoa mắt, chóng mặt. Chỉ 2 viên mỗi ngày, Brain Revi giúp giúp não bộ hoạt động trơn tru, khỏe mạnh, hỗ trợ ngủ ngon, giúp bạn đánh bay các cơn đau đầu, đau nửa đầu bên trái hiệu quả.
Chắc hẳn với những chia sẻ trên có thể giúp bạn đọc có thể kiến thức về chứng đau nửa đầu bên trái, từ đó, có biện pháp điều trị kịp thời, tránh ảnh hưởng đến sức khỏe và chất lượng cuộc sống. Nếu còn bất kì thắc mắc gì, vui lòng liên hệ tổng đài miễn cước 1800.646866 để được dược sĩ tư vấn.
Nguồn tham khảo:
https://www.healthline.com/health/left-side-head-pain#causes
https://www.verywellhealth.com/headache-left-side-5218920

